Sono stato dal cardiologo. Mi ha trovato in ottima forma, ma con il cuore un poco affaticato. Mi ha dato delle medicine in più, un certificato per la palestra, buoni consigli ed il solito sorriso sincero. E’ bravo il mio cardiologo…
* Reblog dell’8 Gennaio 2019

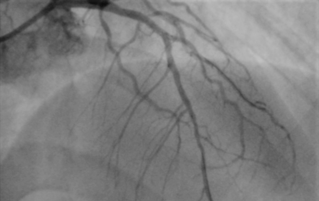
Giuro, questo è il mio cuore. O meglio, ciò che nella tarda serata di San Valentino del 2006 si vide di esso quando aggiunsero un liquido di contrasto nelle coronarie, le famose piccole arterie che portano sangue e nutrimento al cuore stesso in quanto muscolo. Solo poche ore prima, dopo un periodo di mesi di affaticamento per completare un certo progetto in scadenza con poco sonno e tante sigarette, ero in ritardo per vedere un certo programma in televisione, e feci le scale di corsa. Arrivai col fiato corto, ma anche con un qualcosa che mi dava fastidio nel petto, un leggero dolore cupo e persistente, più una pesantezza, come di una cosa non digerita bene. Stavo per fare la conoscenza del signor infarto.
Il malessere non passava ed altri sintomi si aggiunsero. Capogiri, un conato inspiegabile, e poi finalmente si fece sentire il braccio…
View original post 848 altre parole
Mai bevuto, mai fumato, vegetariano, due volte all’anno donavo il sangue, ho fatto anch’io conoscenza del signor infarto.
"Mi piace"Piace a 1 persona
Può succedere a tutti, e son contento che possiamo ancora entrambi raccontarla. E, come ben sai e come racconto nell’articolo, ti cambia la vita.
"Mi piace""Mi piace"